Request An Appointment
719-596-1230
Home
About
Meet Dr. Fred Guerra
Meet the Team
Scholarship
Reviews of Our Practice
Before and Afters
Our Blog
Dr Guerra on KOAA TV
Services
General Dentistry
Dentures
Dental Hygiene/Periodontal Care
Dental Bridges
Custom Night Guards
Extractions
Root Canal (Endodontics)
Oral Cancer Screening
Sedation Dentistry
Sleep Apnea
Oral Surgery
Cosmetic Dentistry
Veneers
Dental Crowns
Dental Implants
Dental Implant FAQs
Invisalign
Six Month Smiles
Teeth Whitening
Bonding White Fillings
Emergencies
Tooth Extraction
The Do’s and Don’ts after a Tooth Extraction
Complications with Tooth Extraction
Technology
Cone Beam 3D Scanner
Diagnodent
Microscrope Enhanced Dentistry
young couple smiling happily together
Patient Center
Financial and Insurance
Online Payment System
VIP Amenities
New Patient Forms
Post-Op Instructions
How to Properly Brush Your Teeth
Smile 365 Plan
Specials
Contact
Maps and Hours
Request an appointment
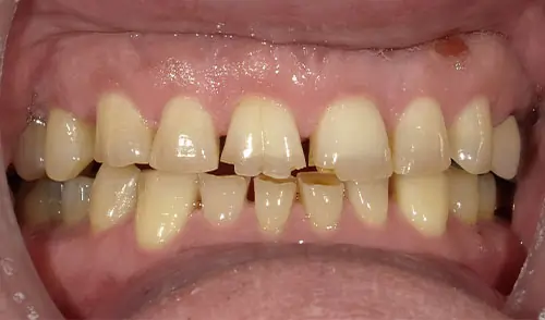
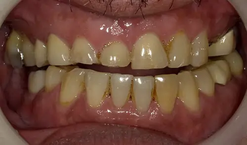
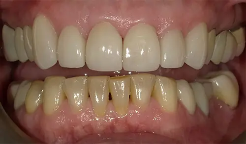
Before and Afters
Patient 1
Patient 2
Patient 3
Patient 4
Patient 5